Informações sobre o produtos
Visão Geral
O X-Insight é uma solução perspicaz para visualizar mais.
A nova solução da Mindray é uma excelente transformação de insights contínuos do cliente em necessidades clínicas, combinada com tecnologias de ultrassom de ponta em evolução.
Como parceiro íntimo, o DC-70 com X-Insight se concentra no que é importante para você, ajudando você a gerenciar sua prática clínica diária com facilidade e certeza.
Com base em insights profundos sobre as necessidades do cliente, o DC-70 com X-Insight foi projetado para oferecer alta eficiência com imagens de precisão, que são potencializadas pelo eXpress Clarity e eXceptional Intelligence, além de se beneficiarem do eXceeding Experience.
Clareza Expressa
Mais clareza em mãos
Motor X
O novo X-Engine integrado com GPU e CPU permite processamento paralelo multi-core para imagens rápidas. Com o mecanismo de imagem avançado, a velocidade de processamento de imagens é acelerada três ou quatro vezes mais rápido do que o processamento tradicional, resultando em imagens extremamente rápidas para 3D/4D e outras aplicações.
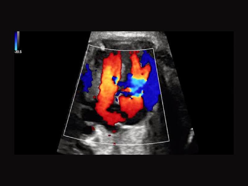
Fluxo de Envidraçamento
Glazing flow é um novo método de demonstração do fluxo doppler colorido em visualização 3D. Ele fornece um fluxo sanguíneo mais intuitivo, mesmo no caso dos menores vasos
Transdutores monocristalinos com tecnologia 3T
Combinando com a tecnologia exclusiva 3T da Mindray (camadas de correspondência tripla, design de corte total, controle térmico), os novos transdutores de volume de cristal único, convexos e de matriz em fase fornecem uma largura de banda mais ampla para oferecer simultaneamente melhor penetração e maior resolução, resultando em uma solução de digitalização ideal em obstetrícia/ginecologia, ABD, cardiologia e muito mais.
Transdutores ComboWave
Comparados com transdutores tradicionais, os transdutores ComboWave utilizam um novo tipo de material piezoelétrico composto para otimizar drasticamente o espectro acústico e reduzir a impedância acústica. Mais integrados com a tecnologia exclusiva 3T da Mindray, os transdutores lineares ComboWave permitem que você experimente um desempenho excepcional com resolução de imagem extrema e uniformidade na tireoide, mama, vascular e muito mais.
Inteligência Excepcional
Inteligência em todo o fluxo de trabalho
Aviões inteligentes CNS
O Smart Planes CNS é uma ferramenta amigável que aumenta muito a precisão do escaneamento, juntamente com uma operação totalmente automatizada, levando a um diagnóstico preciso, melhor rendimento e menor dependência do usuário. Com um simples clique de botão em uma imagem de volume cerebral fetal 3D, os planos de escaneamento padrão do SNC (MSP, TCP, TTP e TVP) e uma gama de medidas anatômicas relacionadas (BPD, HC, OFD, TCD, CM e LVW) são obtidos imediatamente com alta precisão.
Novo iLive
Ao imitar múltiplas fontes de luz de intensidade variável, o iLive ajuda a obter facilmente renderizações de volume com realismo e clareza sem precedentes em alta velocidade, com tecnologia X-Engine e algoritmo avançado.
FLC inteligente
Detecte automaticamente o número e calcule o volume dos folículos a partir de uma imagem de volume 3D.
· Avaliação precisa do tamanho dos folículos
· Os folículos são classificados automaticamente por tamanhos com código de cores
· Relatórios fáceis com gráfico colorido projetado para estudo do folículo
Pélvica Inteligente
Smart Pelvic é a solução inteligente para imagens do assoalho pélvico. Ele pode configurar a linha de base e traçar a borda do Levantador Hiatus automaticamente, fornecendo uma avaliação de saída rápida com mais de 5 medições, resultando em medições mais simples e precisas.
Experiência Exceeding
Experiência com alta produtividade
- Braço exclusivo em forma de asa de águia com monitor Full HD de 21,5”/23,8”
- O exclusivo design de asa de águia da Mindray oferece um ângulo de flutuação ilimitado para uma posição extremamente flexível do monitor, de acordo com as necessidades clínicas.
- Tela sensível ao toque multigesto ultrafina de 13,3” com ajuste de ângulo
- A poderosa operação baseada em gestos inaugura uma nova tendência em ultrassom baseado em carrinho com uma experiência de usuário ágil, inteligente e intuitiva que vai além das suas expectativas.
Sistema de ultrassom para diagnósticos DC-70 XI
Pronta Entrega. Conte com uma entrega rápida do equipamento.
Disponível para locação.
Loja Autorizada




