Informações sobre o produtos
Concreto para Ressoar
O Consona apresenta soluções novas e concretas que ajudam você a realizar diagnósticos tranquilos para diversos tipos de pacientes de forma eficiente.
Não importa se sua rotina é em hospitais, clínicas ou se você está aprimorando habilidades em aplicações de imagem geral, assistência médica feminina ou especialidades cardiovasculares, você encontrará ferramentas altamente poderosas disponíveis nesta série para mantê-lo à frente.
Soluções de imagem abrangentes com tecnologia ZST +
A plataforma ZST + é uma inovação extraordinária, representando uma evolução do ultrassom. Transformando métricas de ultrassom de formação de feixe convencional para processamento baseado em dados de canal. Ela supera a limitação tradicional de trade-off entre resolução espacial, resolução temporal e uniformidade de tecido, fornecendo qualidade de imagem excepcional para soluções de imagem infinitas com melhorias ininterruptas.
Soluções Clínicas Abrangentes
Dedicado a fornecer valor mais substancial em cada cenário de aplicação específico
Solução de imagem geral
HRI inteligente
Reconhecimento automático do córtex hepático e renal e cálculo da taxa de brilho
iToque⁺
Otimização de imagem dinâmica em tempo real
Calculadora Inteligente
Ferramenta automática de rastreamento, medição e cálculo
NTE
Exibição de rigidez ROI com avaliação quantitativa 'Shell'
Quadril Inteligente
Medição automática dos ângulos a/β da articulação do quadril para classificação de Graf
Peito Inteligente
Análise BI-RADS e fluxo de trabalho eficiente
Bexiga Inteligente
Medição automática de três diâmetros e cálculo do volume da bexiga
Tireoide Inteligente
Análise TI-RADS e fluxo de trabalho eficiente
Linha B inteligente
Avaliação automática e rápida do edema pulmonar
Solução de saúde para mulheres
Cena Inteligente 3D
Solução obstétrica inteligente full-stack com tecnologia ZST⁺
Rosto Inteligente
Remoção automática de oclusões sobre a face fetal com um clique
OB inteligente
Medição automática de biometria fetal
Aviões inteligentes CNS
Reconhecimento automático e medição do sistema nervoso central fetal
FLC inteligente 2D / 3D
Contagem e medição automática de folículos no modo 2D/3D
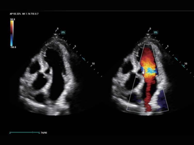
TTQA
Avaliação da sincronização miocárdica com análise quantitativa
AutoEF
Medição automática da fração de ejeção por quadros de diástole/sístole
RIMT
Medição IMT em tempo real baseada em dados de RF
R-VQS
Coeficiente de dureza vascular e velocidade da onda de pulso (PWV)
Sistema de Utrassom para Diagnósticos Consona N9
Pronta Entrega. Conte com uma entrega rápida do equipamento.
Disponível para locação.
Loja Autorizada




